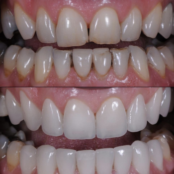
- Please scroll below to see some of our featured “Smile Gallery” before & after photos.
- Some of our celebrity clients (head-shots above) include: Shania Twain, Idris Elba, Nicki Minaj, Fat Joe, Eve, DJ Enuff, Ashanti, Andrea Martin, Trina, Sunny Anderson, Swiss Beatz, Angie Martinez, Merle Louise, and many more – Celebrity Dentist NYC – Gallery!



















